निर्णय लेने से पहले आपको शॉर्ट-स्टेम कृत्रिम अंग के बारे में क्या जानना चाहिए
शॉर्ट स्टेम प्रोस्थेसिस क्यों चुनें?

हिप रिप्लेसमेंट का निर्णय एक महत्वपूर्ण कदम है जिस पर सावधानीपूर्वक विचार किया जाना चाहिए। हाल के वर्षों में, हिप आर्थ्रोप्लास्टी पर विचार करने वाले रोगियों के लिए शॉर्ट-स्टेम कृत्रिम अंग एक लोकप्रिय विकल्प बन गया है। हालाँकि, इस प्रकार के कृत्रिम अंग को चुनने से पहले, कुछ महत्वपूर्ण बातें हैं जो आपको जाननी चाहिए। इस पोस्ट में, हम आपको निर्णय लेने में मदद करने के लिए शॉर्ट स्टेम कृत्रिम अंग के बारे में सबसे महत्वपूर्ण जानकारी पर चर्चा करेंगे।
शॉर्ट-स्टेम कृत्रिम अंग क्या हैं?
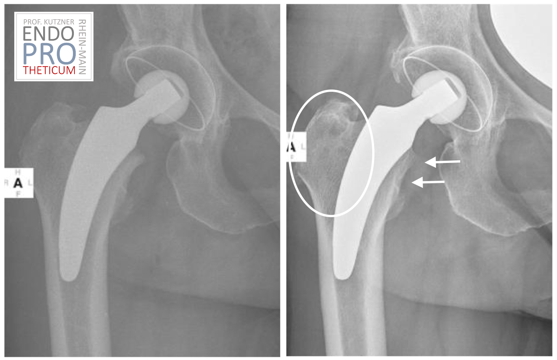
शॉर्ट-स्टेम कृत्रिम अंग ऐसे प्रत्यारोपण हैं जो विशेष रूप से हिप आर्थ्रोप्लास्टी के लिए विकसित किए गए थे और पारंपरिक प्रत्यारोपण की तुलना में शाफ्ट की लंबाई कम होती है। क्षतिग्रस्त या रोगग्रस्त ऊतक को बदलने और कूल्हे के जोड़ के कार्य को बहाल करने के लिए उन्हें फीमर में डाला जाता है। शॉर्ट-स्टेम कृत्रिम अंग कूल्हे के जोड़ की बेहतर स्थिरता और गतिशीलता प्रदान करते हैं, जिससे तेजी से रिकवरी हो सकती है और ऑपरेशन के बाद असुविधा कम हो सकती है।
छोटे तने वाले कृत्रिम अंग के लाभ
छोटे तने वाले कृत्रिम अंग रोगियों के लिए कई संभावित लाभ प्रदान करते हैं। इनमें न्यूनतम इनवेसिव सर्जिकल तकनीक के कारण तेजी से रिकवरी, कूल्हे के जोड़ की बेहतर स्थिरता और सर्जरी के बाद अव्यवस्था या विस्थापन की कम संभावना शामिल है। इसके अतिरिक्त, उन्हें अक्सर सर्जरी के दौरान कम हड्डी हटाने की आवश्यकता होती है, जो फीमर की अखंडता को संरक्षित कर सकती है।
शॉर्ट-स्टेम कृत्रिम अंग के जोखिम
हालाँकि छोटे तने वाले कृत्रिम अंग कई संभावित लाभ प्रदान करते हैं, लेकिन वे हर रोगी के लिए उपयुक्त नहीं होते हैं। सभी चिकित्सा प्रक्रियाओं की तरह, शॉर्ट-स्टेम कृत्रिम अंग के उपयोग से जुड़े जोखिम और जटिलताएँ हैं, जिनमें संक्रमण, रक्त के थक्के और प्रत्यारोपण का ढीला होना शामिल है। अपने डॉक्टर के साथ इन जोखिमों पर चर्चा करना और यह निर्धारित करने के लिए संपूर्ण जोखिम-लाभ विश्लेषण करना महत्वपूर्ण है कि शॉर्ट-स्टेम कृत्रिम अंग आपके लिए सही विकल्प हैं या नहीं।
निर्णय का समर्थन
इससे पहले कि आप शॉर्ट-स्टेम कृत्रिम अंग पर निर्णय लें, आपको अपने विकल्पों पर पूरी तरह से शोध करना चाहिए और सभी पेशेवरों और विपक्षों पर सावधानीपूर्वक विचार करना चाहिए। अपनी व्यक्तिगत स्थिति के लिए सर्वोत्तम निर्णय लेने के लिए अपनी चिंताओं, प्रश्नों और अपेक्षाओं के बारे में अपने हड्डी रोग विशेषज्ञ से बात करें। एक सोच-समझकर लिया गया निर्णय आपको सर्वोत्तम संभव परिणाम प्राप्त करने और आपके जीवन की गुणवत्ता में सुधार करने में मदद कर सकता है।
निष्कर्ष
शॉर्ट-स्टेम कृत्रिम अंग हिप आर्थ्रोप्लास्टी पर विचार करने वाले रोगियों के लिए एक आशाजनक विकल्प प्रदान करते हैं। हालाँकि, इस प्रकार के कृत्रिम अंग को चुनने से पहले, अपना शोध करना और सभी पेशेवरों और विपक्षों पर विचार करना महत्वपूर्ण है। अपनी व्यक्तिगत स्थिति के लिए सर्वोत्तम संभव निर्णय लेने के लिए अपनी चिंताओं और प्रश्नों के बारे में एंडोप्रोथेटिकम में प्रोफेसर कुट्ज़नर से बात करें।
एक नियुक्ति करना?
फ़ोन या ऑनलाइन अपॉइंटमेंट लेने के लिए आपका स्वागत है ।


























