आपको निर्णय लेने से पहले कूल्हे की छोटी सर्जरी के बारे में क्या जानना चाहिए
शॉर्ट-स्टेम प्रोथेसिस क्यों चुनें?

कूल्हे की सर्जरी के लिए निर्णय लेना एक महत्वपूर्ण कदम है, जिसके बारे में गहराई से सोचना चाहिए। पिछले कुछ वर्षों में, कूल्हे की छोटी सर्जरी उन मरीजों के लिए एक लोकप्रिय विकल्प बन गई है जो कूल्हे की सर्जरी पर विचार कर रहे हैं। हालांकि, इस प्रकार की सर्जरी के लिए निर्णय लेने से पहले, कुछ महत्वपूर्ण बातें हैं जो आपको जाननी चाहिए। इस लेख में, हम कूल्हे की छोटी सर्जरी के बारे में महत्वपूर्ण जानकारी पर चर्चा करेंगे, ताकि आपको अपने निर्णय में मदद मिल सके।.
लघु शाफ्ट प्रोथेसिस क्या हैं?
कृत्रिम शॉर्ट-स्टेम प्रोथेसिस विशेष रूप से हिप रिप्लेसमेंट सर्जरी के लिए डिज़ाइन किए गए हैं और पारंपरिक इम्प्लांट की तुलना में एक छोटी स्टेम लंबाई होती है। इन्हें ऊपरी जांघ की हड्डी में डाला जाता है ताकि क्षतिग्रस्त या रोगग्रस्त ऊतकों को बदल दिया जा सके और कूल्हे के जोड़ के कार्य को बहाल किया जा सके। कृत्रिम शॉर्ट-स्टेम प्रोथेसिस कूल्हे के जोड़ की स्थिरता और गतिशीलता में सुधार करते हैं, जिससे तेजी से रिकवरी और कम पोस्टऑपरेटिव जटिलताएं हो सकती हैं।.
शॉर्ट-स्टेम प्रोस्थेसिस के लाभ
कुछ रोगियों के लिए शॉर्ट-स्टेम प्रोथेसिस कई संभावित लाभ प्रदान करते हैं। इनमें न्यूनतम इनवेसिव सर्जिकल तकनीक के कारण तेजी से रिकवरी, कूल्हे के जोड़ की बेहतर स्थिरता और सर्जरी के बाद डिस्लोकेशन या लक्सेशन की कम संभावना शामिल है। इसके अलावा, उन्हें अक्सर सर्जरी के दौरान कम हड्डी हटाने की आवश्यकता होती है, जो फीमर की अखंडता को बनाए रख सकती है।.
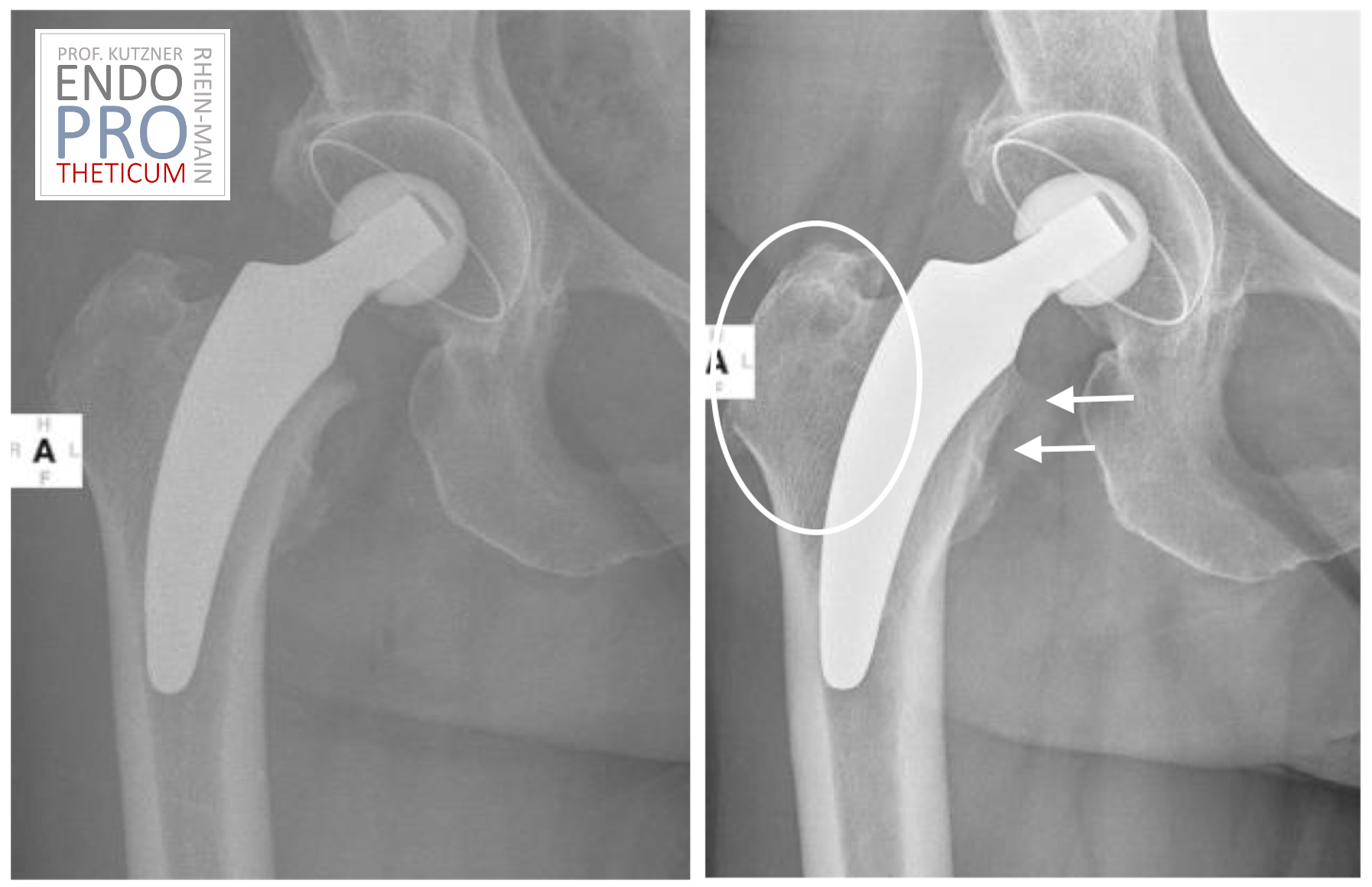
कृत्रिम शॉर्ट-स्टेम प्रोथेसिस के जोखिम
यद्यपि शॉर्ट-स्टेम प्रोस्थेसिस कई संभावित लाभ प्रदान करते हैं, वे हर रोगी के लिए उपयुक्त नहीं हैं। सभी चिकित्सा प्रक्रियाओं की तरह, शॉर्ट-स्टेम प्रोस्थेसिस के उपयोग में भी जोखिम और जटिलताएं होती हैं, जिनमें संक्रमण, रक्त के थक्के और इम्प्लांट की ढीलापन शामिल हैं। इन जोखिमों पर अपने डॉक्टर से चर्चा करना और यह निर्धारित करने के लिए एक गहन जोखिम-लाभ विश्लेषण करना महत्वपूर्ण है कि क्या शॉर्ट-स्टेम प्रोस्थेसिस आपके लिए सही विकल्प है।.
निर्णय सहायता
कृत्रिम शॉर्ट-स्टेम प्रोथेसिस चुनने से पहले, आपको अपने विकल्पों के बारे में अच्छी तरह से जानकारी प्राप्त करनी चाहिए और सभी फायदे और नुकसान को ध्यान से विचार करना चाहिए। अपने ऑर्थोपेडिस्ट से अपनी चिंताओं, सवालों और अपेक्षाओं के बारे में बात करें, ताकि आप अपनी व्यक्तिगत स्थिति के लिए सबसे अच्छा निर्णय ले सकें। एक सूचित निर्णय आपको सर्वोत्तम परिणाम प्राप्त करने और आपके जीवन की गुणवत्ता में सुधार करने में मदद कर सकता है।.
निष्कर्ष
शॉर्ट-स्टेम प्रोस्थेसिस उन रोगियों के लिए एक आशाजनक विकल्प प्रदान करते हैं जो एक हिप रिप्लेसमेंट पर विचार कर रहे हैं। हालांकि, इस प्रकार के प्रोस्थेसिस पर निर्णय लेने से पहले, पूरी तरह से सूचित होना और सभी फायदे और नुकसान पर विचार करना महत्वपूर्ण है। अपनी व्यक्तिगत स्थिति के लिए सर्वोत्तम निर्णय लेने के लिए प्रो. कुट्ज़नर के साथ ENDOPROTHETICUM में अपनी चिंताओं और प्रश्नों पर चर्चा करें।.
नियुक्ति निर्धारित करें?
आप आसानी से फोन पर या ऑनलाइन एक अपॉइंटमेंट बुक कर सकते हैं।

























